「他們沒有慾望,也沒有憎惡;沒有憤怒,也沒有慈愛。對過去最珍愛的事物,全然無動於衷。......對過去已經不復記憶,遑論對將來的盼望......目光呆滯、面無表情,既不會想像,也不會思考,只剩下一點點,甚或沒有什麼意念。既不希望什麼,也不決定什麼,只是降服......。」早在1838年,法國精神科醫師艾斯克羅即如此描述失智症病人。這個在百餘年前堪稱神秘罕見的疾病,如今已是高齡社會的最大隱憂,和癌症、愛滋並列世紀三大絕症。
為什麼會失智?失智又會對家庭、社會帶來哪些衝擊?有哪些似是而非的誤解待釐清?人們除了認識、瞭解它之外,還能如何預防?
6月中旬,國際阿茲海默症第11屆亞太會議在台灣舉行,主辦單位「台灣失智症協會」邀集亞太地區17個會員國代表,共同為失智症請命。有鑑於失智人口漸增,而人們卻對它缺乏瞭解、更缺乏共識,因而呼籲各國衛生單位應將失智症防治照護列為重點工作。

今日的妄想,可能是昨日殘留的恐懼,失智症患者的虛擬世界,或許也有幾分真實。
世紀之症
隨著人類壽命的延長,與老化息息相關的失智症也越來越「普及」。國際阿茲海默症協會主席Orien Reid指出,全球平均每7秒鐘增加一位失智症患者,預估到2040年,全球失智症人數將由目前的2,500萬人,快速增加為8,200萬人。雖然盛行率不及癌症、心臟病、糖尿病等慢性疾病,但隨著人口老化、趨勢越來越惡化,失智淪陷區將快速蔓延。
國際阿茲海默症協會執行長Marc Wortmann則表示,失智症的照護,對個人及家庭將造成嚴重衝擊,更嚴重影響醫療衛生及預算。根據2005年的「失智症社會成本推估研究」,全球失智症照護成本已達3,150億美元。
台灣失智症協會理事長、台大精神科醫師李明濱指出,台灣目前失智人口預估將近15萬人,與美國逾500萬人、印度325萬人、日本187萬人尚有段距離,和澳洲近20萬人相近。他指出,失智症的盛行率隨年齡而增高,65歲老人失智盛行率約5%,到80歲時則高達20%,目前台灣以每年0.1%的速度增加中,平均每天增加15人,預估20年後將倍增。
雖然不像心臟病、糖尿病等慢性疾病,對老人家的身體造成有形甚至致命的損傷,但失智症的「影響力」絕對不容小覷。台南「熱蘭遮失智症協會」理事長、成大附屬醫院神經科主任白明奇指出,國外研究顯示,一位失智症患者平均影響周邊包括配偶、子女、親友、同事等22人,依此推估,台灣有高達四分之一的人口會直接、間接受到波及。

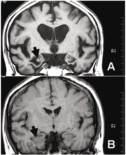
從磁振造影圖中,可以明顯看出失智症患者的海馬迴(箭頭所指處)萎縮。
記憶之癌
失智症,早期名為「老人癡呆症」,是一種漸進式的大腦認知功能退化症候群。失智症患者行動自如,外表看來也與正常人無異,但由於記憶、注意力、語言表達、知覺、判斷力、計算、執行、解決問題等腦部高級能力受損,會逐漸影響病人的工作與日常生活。
失智症主要是類澱粉斑塊沈積在大腦皮質和海馬迴中,造成神經原受損所致。從阿茲海默症患者腦部病理切片,可以發現「神經微纖維纏結」和「老年斑塊」、細胞空泡等特徵。而這些發生在大腦中的病變,可能早在出現明顯症狀前的三、四十年前就已開始。
依「失智」原因的不同,失智症一般概分為:漸進性中樞神經退化、血管性失智症及其他失智等3類(見表一)。其中又以阿茲海默症(60%)及血管性失智症(25%)最為常見。
簡單來說,失智症是一種奪取人們記憶、認知能力的慢性腦部疾病。
不同於「失憶症」──無法將短程記憶轉成長程記憶,無法學習新的事物、認識新的臉孔,但無損於久遠的記憶,也不會遺忘發病前的親友及知識;而失智症病人除了初期有失憶症「隨講隨忘記,卡講講過去」的症狀外,隨著病程惡化,更連整個記憶庫都被從根「刪除」,還伴隨著認知功能退化及行為異常等精神症狀,如被害、被偷、妒忌等妄想。換句話說,病患從初期的「記憶力減退」到「意識混亂,失去理性」、「理解能力喪失」,再一路退化到「喪失本能與自發性行為」,在醫學判定上有輕、中、中重、重度等4種等級。(見表二)
成大附屬醫院神經科主任白明奇指出,失智症真的很像癌症,「原因不明、無聲無息地開始、逐漸進展、好發於高齡者、有部分家族遺傳性(約5%)、終點是葬禮──只是這是一場看似漫長沒有盡頭的葬禮。」
白明奇指出,在臨床上,患者平均發病年齡是69歲,大約是兒女要嫁娶的年齡,病患會喪失語言表達、記憶、認知和使用器械等能力,也會喪失執行力。
不過也有65歲以前就發病的病患(稱為早發性失智症),估計台灣65歲以下的早發性失智患者約有3∼4萬人。國泰醫院精神科主任張景瑞指出,近年在門診中發現早發性失智症病患似有增加的趨勢,
難道失智症也開始年輕化?
「這可能與病患越來越有病識感,懂得及早尋求醫療協助有關,」張景瑞如此解讀。白明奇也認為,早發性失智症並非增加,而是過去常被忽略,有些甚至可能被誤診為「憂鬱症」,如今隨著大家對「失智症」的警覺日高,診出率也就隨之提高。
白明奇指出,4年前他剛由台北下台南時,成大醫院的失智症患者只有三百多人,現在有六百多人,已經成長一倍。但他估計,還有高達五分之四的隱藏病患尚未被診斷出來!

「泉涸,魚雙予處於陸,相濡以沫,不如相忘於江湖。」在心識之泉逐漸乾涸的失智症患者身上,莊子的哲思令人低迴喟嘆。
是老化還是病?
即使社會大眾對於失智症的警覺已提升,但失智症在治療上仍存歧異。「失智症治療用藥是否像化妝品一樣,可有可無?」這個問題不僅一般人觀念模糊,甚至連醫界目前也沒有共識。
治療上的爭議,主要來自於成效不彰。特別是,直到目前為止,似乎還沒有任何治療可以阻止阿茲海默型失智的進行和惡化。目前的治療只能延緩退化速度,並無法治癒。因此有部分醫生認為,失智根本無藥可醫,目前的治療都是「無效」的「醫療」。
然而,「能夠延緩退化,甚至『拖』過患者的正常壽命,這就已經是很大的成就了。」台大精神科醫師李明濱指出,國外研究顯示,失智症的治療若能在輕度時開始,可以大大提升患者及家屬的生活品質。可惜的是,除了腦瘤等其他因素導致的失智外,典型失智症是幾乎沒有病痛、患者也從頭到尾沒有病識感的,而許多子女忙於工作或根本不住在家裡、一兩個月才回鄉探望一次,以致臨床經驗中,家屬帶著失智患者就醫時多已達中度。
以最常見的阿茲海默症為例,白明奇表示,在臨床上有3成病人對藥物完全沒有反應;即便有反應者,效果也未必能持續。但早期發現,及早用藥,的確可以改善病人的認知、行為與精神症狀,延緩退化的速度。目前健保局已開始給付部分改善認知功能及情緒症狀的治療藥物,對家屬是一大福音。
腦部神經傳導物質中的「乙醯膽鹼」,被認為與學習、記憶功能密切相關,也是目前用來改善漸進性失智症認知功能藥物──膽鹼脢抑制劑──的主要作用,包括:「愛憶欣」、「憶思能」、「利憶靈」等,都是藉由提升腦內乙醯膽鹼濃度,來協助患者的記憶、認知能力。而抗精神藥物則用來改善患者妄想、憂鬱、失眠、焦躁或粗暴的行為。
除了藥物外,台灣失智症協會創辦的「瑞智學堂」,嘗試透過種種刺激與行為治療,如懷舊治
療──藉由聊天、照片、音樂、錄影帶等幫助回憶;藝術治療──音樂、舞蹈、繪畫等,來穩定病人情緒,增進認知功能。
「我們的目標在於儘量讓患者停留在輕度失智期,」台灣失智症協會秘書長湯麗玉指出,「瑞智學堂」已運作3年,根據她所做的質性研究顯示,懷舊團體、藝術治療等刺激,對於患者的語言表達和自信心都有增強的效果。

「記憶的空白,只能用愛來彌補。」成大醫院神經科主任白明奇如是說。
純屬虛構?
「對家屬來說,眼睜睜看著自己所愛的人一天天地消逝、變形,卻束手無策,這真是最大的折磨。因此醫界若能do something,對病患和家屬都有正面的幫助。」湯麗玉提醒,失智症初期就像閃爍的日光燈,時好時壞,家屬若能提高警覺、及早介入,日後的內咎懊悔也可以減輕。
然而,也有人質疑,既然無法治療,那麼早期診斷對失智症究竟有什麼意義?
白明奇指出,失智患者平均有6到8年的餘命,最長可達20年。對一個不可逆的退化性疾病來說,早期診斷的意義與價值在於,一來可避免不必要的誤會與衝突,對未來早做規劃;二來家人也會更懂得珍惜親友間僅存的有限互動。
「當家屬知道長輩原來是罹患了失智症時,一切難以忍受的脫序行為就變得可以理解,也能接受了。」湯麗玉說,知道老人家的易怒、多疑、敵意、各種破壞與搗鬼行為,原來是「生病了!」,並不是特別針對某位家人,也不是「壞心眼」,對家屬來說是一種安慰與解脫。
然而,理智上雖然知道失智是一種病,但病人造成的傷害卻仍將烙印在家屬心上,終生揮之不去。
「失智症患者的種種妄想症狀,是照顧者最無法忍受的傷痛。」白明奇表示,重度失智症患者因失憶、喪失自我、意識扭曲等而出現「解離」現象,但他/她們妄想出來的故事情節,卻彷彿真有其事。
例如有位失智症婆婆,到處散播媳婦「偷人」的謠言,最後弄得兒子媳婦離婚收場;許多老人家總是半夜三更叫醒家人,說自己貴重的東西掉落床下,勞師動眾地搬床翻找,遍尋不著、復原後,沒隔多久,同樣戲碼又重演一次,弄得家人筋疲力竭;患者懷疑錢被偷或有人要謀害他的情況也常見,有些家屬因而得「偽造」斗大的銀行存款證明或在牆上貼滿「媽媽我愛妳,我會照顧妳」之類的大字報,才能「哄」來老人片刻安寧。
「也有家屬是在親人罹患失智症後才開始認識他/她。」白明奇指出,失智症患者一些看似難以理解、叫人啼笑皆非的行為,其實有些是有跡可尋的。例如有位中度失智老人一直指控嫂嫂要謀害他,究其原因才知道,原來他以前曾經打過嫂嫂一巴掌,心裡一直怕她會報復。
「何必一定要辨別真假?一輩子好強的老人家,或許只是說出自己潛意識裡的恐懼,」台灣失智症協會秘書長湯麗玉指出。然而,正是這種看似無心卻又有意的「指控」,往往挑動了親人間長期壓抑的敏感心結,令家屬更憤怒難堪。

返老還童,是幸?還是不幸?圖為失智症患者在瑞智學堂藝術治療課時的畫作。
忘記你不是我願意
從出現妄想後,失智就進入了一個不可理解的狀態,一輩子斯文有禮的先生可能變得暴躁不可理喻,彷彿完全變了一個人;從不知如何思考、如何表達自己的需求和想法,慢慢地忘了家住哪裡、身處的年代、配偶和子女,甚至忘了自己是誰。部分患者會出現強迫性症狀,如一直不停地走、不停地打轉等,最後失去意識、大小便失禁、忘了如何咀嚼、忘了如何邁步行走,整個人僵直皺縮,彷彿植物人。
而病程發展因人而異,從幾個月到十多年不等。當病人心神喪失、不認得家人時,正是家屬及照顧者身心煎熬、最難度過的混亂期。有些家庭請外籍看護協助照顧,少數家庭在無力應付下,選擇將病患送安養機構。
根據統計,台灣91.5%的失智症患者由家人照顧,在機構中照顧的只有3.5-5.9%,除了傳統觀念「把父母送去安養是不孝」的束縛外,專門照護機構硬體、軟體都嚴重不足,可能是主要原因。
台灣失智症協會秘書長湯麗玉指出,台灣估計有15萬失智人口,而全國安養機構的失智患者病床數卻連500床都不到。然而,湯麗玉並不希望床數擴充得太快,「政府只補助設施、設備費用(一床20萬),但照護的人力配置和訓練才是重點。」湯麗玉指出,空有硬體,但對失智症的認識、照顧訓練等軟體不足,是沒有用的。
失智患者家屬劉玉秀指出,不單是失智症患者有認知功能障礙,整個社會對失智症也普遍認知不足。她指出,自從母親在2年前罹患失智症後,對於第一次接觸的人,她都會主動告知,但大部分的人對失智症還是一無所知,對於外表正常、言行舉止卻無法控制的母親,總是大惑不解、疏於防範。

當記憶、意識一點一滴逝去,一切終將回歸平靜,沒有喜怒哀樂,沒有貪、嗔、癡......
從認識開始
根據成大醫院與嘉義大學家庭教育研究所的研究發現,在病人被診斷出失智症之前,有18%的家屬從未聽聞失智症,51%的家屬聽過但不瞭解,26%有部分瞭解,真正稱得上瞭解的只有5%。
即便是醫療單位,對於如何照護失智症病人也缺乏認識。今年初,劉玉秀的媽媽先後因為滑倒手腕骨折和白內障手術,搞得人仰馬翻。母親不聽從指令,每天嚷著要拿掉石膏,還會不停的揉眼睛,「請教骨科和眼科專科醫師,他們也無法提供安全照顧失智症患者的方法,」劉玉秀無奈地說。
失智症在台灣被嚴重忽略,專科醫師與醫療指引標準嚴重匱乏,機構照顧闕如,家屬的茫然無助更令人心疼。面對世紀之癌逐步入侵,各界應該要趕快補足缺失,嚴陣以待了。
(表一)失智種類知多少?
| 一、漸進性中樞神經退化症 ●阿茲海默症──是最常見的失智症,約佔所有失智的60%。由於最早的病變位置與日常記憶功能有關,因此,失憶症狀很早就出現。 ●額顳葉失智──此類型腦部障礙以侵犯額葉及顳葉為主,特性為早期就出現人格變化,無法調整行為,以致有吹牛、誇大、不合時宜傻笑等不適切的行為反應,或出現語言障礙,表達困難。 ●路易氏體失智──早期症狀為睡眠異常、出現視聽及幻覺等,後續則出現認知功能障礙,以及重複地跌倒等運動神經失調症狀,時好時壞起伏變化大。 |
| 二、血管性失智症 為腦血管疾病(如反覆小中風)所引起的失智症。此類型失智在東方人發生的比例較高,特性是認知功能突然惡化、有起伏現象。 常見的臨床特徵為:情緒及人格變化、動作遲緩、步履不穩、尿失禁等。此外,發生中風部位若位於皮質下腦組織,會破壞大腦路徑與神經傳導物質的平衡,導致憂鬱症。 |
| 三、其他失智症──其他原因如腦瘤、腦炎、外傷、酒癮、水腦、甲狀腺功能低下等,也會引發失智 症。這類失智症並非不可逆,只要找出病因、對症下藥,是可以治療的。 |
(表二)阿茲海默症病程
| 階段 | 輕度 | 中度 | 中重度 | 重度 |
| 智能 | 20 | 14 | 5 | 0 |
| 症狀 | 無法從事理財、採買及料理三餐等複雜活動,計算能力下降,有注意力及近期記憶障礙,例如剛吃完飯卻一直喊肚子餓。 | 失去選擇適當衣著能力,走路緩慢,退縮、容易流淚,妄想,躁動不安。 | 需他人協助穿衣、洗澡、上廁所,大小便失禁,躁動不安,語言能力降低。無法辨識親人。喜怒情緒不合理且不連貫。 | 需依賴他人照顧,除叫喊外無語言能力,無法行走,因久臥導致褥瘡、肺炎、四肢攣縮的可能性增加。 |
| 退化程度 | 8歲-青少年 | 5-7歲 | 5-7歲 | 4週-15個月 |
| 平均年限 | 2年 | 1年 | 2-5年 | 2-3年 |
「三動二高」防失智
| 失智症是可以預防的! 根據目前的醫學研究,有少數退化性失智症與基因遺傳有關,如:脂蛋白E基因、類澱粉前驅蛋白基因等(帶此基因者罹病率是一般人的2-3倍),但阿茲海默症的病因至今仍不清楚,有些人腦部明明已有病變,卻沒有出現失智症狀。 美國一項持續15年(1986-2001年)、678名修女參與的「修女研究」發現,許多修女的腦部有已有阿茲海默症「纖維束」、「老年斑塊」等典型病變,但她們在生前並沒有發病。科學家推估是因為她們有適度的休閒生活和不斷的動腦。 因此,台南成大醫院神經科主任白明奇提出「三動二高」預防失智的策略,以期達到降低或延後失智發生的效果。 頭腦要動──從事心智活動,例如玩益智遊戲。 休閒活動──多從事戶外及社交活動,如訪友、踏青。 有氧運動──養成運動習慣,促進新陳代謝。 高等教育──閱讀雜誌、報紙或參加社區講座,吸收新知。 高抗氧化──儘量飲食清淡,並攝取高抗氧化食物,如菠菜、花椰菜、藍莓等。 此外,台灣失智症協會根據研究資料,整理出失智症8大危險因子,提醒大家小心防範。 一、年齡──年紀越大,風險越高 二、有失智症家族史者 三、高血壓、心血管疾病患者 四、糖尿病患者 五、有腦損傷病史者 六、飲酒過量者 七、受教育程度低者 八、有其他腦部退化性疾病者,如巴金森氏症 |

