基因工程即遺傳物質之剪接工程。
基因轉殖是將微生物、動物、植物的一段基因放進動、植物的染色體中,使其表現那段基因應有的特性。和過去育種最大的不同是,基因轉殖完全打破生物的界線,無論是微生物、動物、植物的基因都可以互相進行轉殖。
複製是指生物個體不經由有性生殖,而以分裂球之分裂術或核移植複製術等方法增殖。
無性生殖在植物界相當普遍,但動物的無性生殖卻是基因工程技術的「創舉」,名聞遐邇的複製羊桃麗便是歷史上第一隻複製成功的動物。
截至目前為止,全世界經由體細胞複製的成功例子不多。繼桃麗羊之後,只有日本複製牛和夏威夷複製鼠等少數幾個成功,台灣則還在嘗試中。倒是基因轉殖,世界各地都已如火如荼地展開。

(左上)小鼠胚胎的DNA顯微注射。老鼠是最常被選為作動物實驗的對象,在基因轉殖研究中也不例外。(養豬研究所提供)(養豬研究所提供)
未來的出路?
英國「自然」雜誌六月報導,英國劍橋大學一個研究小組由阿拉伯芥中取得一種可以促進細胞分裂的遺傳基因,將其轉殖到菸草上,這種基因在菸草內產生一種蛋白質,和菸草內某些自然的化學物質結合後,就可以使菸草根莖末端的細胞加速分裂,基因菸草的成長速度因此比一般菸草快一倍。
前些日子報載,台灣有業者引進「超級楊樹」,希望能拯救九二一大地震後,中部山區坍方、土石流的問題。據說,此種基因轉殖楊樹平均每天成長三到五公分,一年可以長到六、七公尺,兩三年就可成參天巨木。
快速成長的菸草、三年成蔭的楊樹,都是基因工程的產物。事實上,不只是菸草和楊樹,基因轉殖農作物目前已知的就有大豆、玉米、油菜、棉花、番茄、稻米、馬鈴薯、果樹、甜菜、小麥等等。
以上基因轉殖作物的目的,有的是使其不易腐爛(蕃茄),有的是讓作物不受除草劑的影響(大豆、玉米、棉花),有的目的在抗蟲(玉米、馬鈴薯)。
有人說,過去大量噴灑殺蟲劑、農藥、肥料的耕作方式,使得大量化學藥劑殘留在土壤裡,對人體、環境產生危害,利用基因轉殖作物可以解決此一問題。也有人警告,糧食不足是下個世紀人類的一大問題,而基因轉殖作物可能是解決糧食短缺問題的出路。

左下)剛受精不久的豬胚胎,以顯微注射的方法,將DNA注入精子的原核內,這就是目前最熱門的「基因工程」。(養豬研究所提供)(養豬研究所提供)
抗病、抗蟲又營養
中研院植物所研究員陳慶三目前致力於水稻基因轉殖研究,一方面希望能改良水稻的品種,使其蛋白質的含量更高;一方面使水稻可以抗病、抗蟲,減少使用農藥、增加產量。
陳慶三指出,水稻的營養成分很好,唯一美中不足的是離胺酸缺乏、蘇胺酸比較不足,這兩種都是人體必要的胺基酸。目前他已成功地將醇融蛋白基因轉殖到水稻中,基因稻繁衍到第三代都繼續存在、表現該基因的特性。
此外,他利用原本寄生在植物身上的農桿菌作為載體,將綠豆的抗蟲基因轉殖到水稻中,目前測試發現抗蟲基因確實已進入水稻中,但基因卻沒有進一步產生蛋白質。陳慶三推估,可能是豆類和水稻的基因密碼相差太大導致的。
除了作物之外,花卉的基因轉殖也已有些成效。
以育蘭外銷著稱的台灣糖業股份有限公司農業處副處長陳文輝指出,台糖「產學合作計畫」選殖中研院研發的抗軟腐病基因與中興大學研發的抗病毒基因到蝴蝶蘭上。
由於蝴蝶蘭一直有嚴重的軟腐病,過去用雜交育種的方法無法解決,現在選殖的是存在菸草中的抗病基因,希望能解決此一問題。目前抗病毒基因已經成功地引入蝴蝶蘭中,抗軟腐病基因仍在嘗試中。
此外,台糖農業研究所有十幾位研究員專門研究花卉,目前正在研究有關花色的DNA分子標誌,希望能在幼苗階段就知道將來會開什麼顏色的花朵。
除了農作物、花卉等抗病蟲害、改變性狀的基因轉殖外,利用轉殖植物來生產藥物或蛋白質,更是生物醫學界積極研究的方向。
「植物體能合成的東西,是任何生物都辦不到的,」中研院植物所所長蕭介夫指出,植物光合作用所需的要素極其簡單,只要光和水就足夠了。如果凝血因子、高價蛋白質等物質能轉殖植物生產,將是低成本、高產值的生產工具。
目前日本已經成功地將胡蘿蔔素導入稻米中,還有國家成功地將疫苗轉殖入香蕉中。如此一來,從每日的飯食中就可以攝取到胡蘿蔔素,或是免去挨針之痛,只要吃香蕉就可以達到預防疾病的效果。

基因工程首重實用,例如將抗蟲基因轉殖進植物中,以避免蟲蟲危機。(邱瑞金)
異種器官移植
基因轉殖動物目前則朝改良家畜產品、器官移植和藥物研發方面發展。
舉凡減少肉中脂肪含量、提高乳汁的品質與產量、加速家畜的生長率等等,都是基因轉殖動物的目標。
台灣養豬科學研究所應用生物系主任毛仁淡指出,目前養豬科學研究所以豬來研發生產藥物分子和製造類似人類的器官。
養豬科學研究所應用生物系副研究員杜清富從事異種器官移植研究多年,他指出,早期器官移植多用與人類同屬靈長類的狒狒或黑猩猩作研究,但因牠們是保育類動物,只能退而求其次,改以解剖結構、生理功能和人接近的豬作研究對象。
「異種器官移植最大的問題是排斥,」杜清富解釋,除了靈長類外,其餘哺乳類動物血管細胞外膜都有一種半乳醣,半乳醣抗原會引起自然抗體的排斥反應,補體與自然抗體是第一道「超急性排斥反應」。接下來還有凝血作用之血管性排斥反應(急性排斥反應),與免疫系統機制與T淋巴球等引發的「慢性排斥反應」。
養豬研究所目前培育出攜帶「人類白血球表面抗原基因」的仔豬,可以同時克服異種移植時的T淋巴球排斥反應,並抑制補體反應之超急性排斥反應。
杜清富指出,在證實基因轉殖豬的移植效果優於非基因轉殖豬後,目前計畫將培育成功的HLAⅡ基因轉殖豬和歐美培育的DAF基因轉殖豬配種,如果配種成功,那麼異種移植時會產生的補體性超急性和慢性排斥反應就可以同時獲得解決,對異種器官移植研究是一大進步。至於自然抗體所引起的超急性和血管性之急性排斥反應,目前仍在研究中。
利用基因工程改變家畜「經濟性狀」,也是全球畜產界發展的方向。
行政院農委會及國科會委託台灣養豬科學研究所與台灣大學合作進行「豬乳鐵蛋白基因轉殖豬」的產製計畫,已獲得初步的成功。

抗蟲、抗病、改變性狀,都可藉由基因轉殖達成,圖為基因轉殖的菸草,比對照組足足高了一倍。(邱瑞金)
家畜醫藥工廠
養豬科學研究所應用生物系副研究員吳信志指出,母豬泌乳期間,乳汁中豬乳鐵蛋白含量在第一到七天最高,隨即迅速下降,對哺乳期的仔豬而言,可能因此下痢夭折,育成率偏低。豬乳鐵蛋白基因轉殖豬有助於提高豬的育成率。
養豬研究所經過四年的研究、嘗試,已經成功培育出含外源性豬乳鐵蛋白基因的母豬,在二十八天的泌乳期間,豬乳鐵蛋白含量皆維持在高標準,現在到第四代都還存在此一基因。目前養豬研究所正向農委會提田間試驗推廣計畫,希望能將技術轉移給民間。
此外,以基因轉殖動物作微生物產品的工廠,從其乳汁或血清中粹取所需的物質,有利於製藥工業的未來的發展。
生物技術中心經理江晃榮指出,現階段生技醫藥品是利用細菌、酵母菌、組織培養或重組DNA技術來生產,由微生物所分泌的蛋白質必須經過處理才能獲得活性蛋白質,利用動物來生產則不但無此缺點,而且產能高、價位低。
豬、牛、羊等哺乳動物都是科學家研究的對象,其中以豬多胎、世代間距短、繁殖快等條件,最被看好。
台灣生物科學界在這方面已有成功的案例。豬研所與台大畜牧系教授鄭登貴、台北榮總醫研部研究員朱廣邦合作的「人類凝血第九因子基因轉殖豬」已經成功。吳信志指出,此一B型血友病患需要的物質,過去必須由人血中純化,非常昂貴,且具疾病感染之風險。如今利用基因轉殖豬生產,只要三十頭母豬就可以供應全世界B型血友病患,每年產值達一億六千萬美元。

異種器官移植或分子藥物,將來都可能藉由基因轉殖豬來達成。(養豬科學研究所提供)(養豬科學研究所提供)
科學不歸路?
基因工程看來無往不利、無所不能。然而,值得注意的是,基因轉殖有其傳播性、不可逆性和永續性,一旦出現問題,恐怕也難以挽回。
生態學者擔憂,幾百萬年來,自然界動、植物的演化過程,突然介入了不依循自然法則的基因改造干擾,會嚴重破壞整個生態的平衡。
這類的意外在歐美已經發生。德國動物學家研究發現,用來改良作物的外來基因會流出宿主之外,跑到其他細菌上面。不久前英國一處農田油菜籽內的抗除草劑基因就轉移到蜜蜂腸內的細菌和酵母菌上,一大片的油菜田因此遭毀棄。
此外,基因工程食品的安全性也一直有爭議。有人認為,基因轉殖食品有產生新毒素或過敏原的疑慮。
英國羅威特研究所普茲泰教授以具抗蟲基因的馬鈴薯餵食老鼠,經過一百一十天的實驗,老鼠不僅發育不良,而且出現免疫系統上的傷害。
英國一個有關雌性瓢蟲的溫室實驗發現,瓢蟲吃下以基因改造馬鈴薯餵食的蚜蟲後,生命期縮減了一半,下蛋的數量也減少百分之三十。
或許有人認為,基因作物產地多在美國,距離我們很遙遠,但事實上,基因轉殖食品早已登門入室,據估計,台灣進口的大宗穀類,包括大豆、玉米、小麥等,有百分之六、七十都是基因轉殖作物,早已做成豆腐、豆漿、麵包、蛋糕等食品,大家都吃進肚子裡仍不知道。
今年一月在加拿大蒙特婁召開的生物安全會議,簽訂了「卡塔黑那生物安全議定書」,中華民國雖非公約國,但是有關基因轉殖產品仍需要受到規範。
安全性和標示性是目前基因食品規範的兩大重點。「安全審查並不困難,難的是標示,」衛生署食品衛生處處長陳樹功指出,國內產業界認為,標示會增加很多成本。
中研院曾做過電訪,百分之四十八的民眾願意購買基因轉殖食品,百分之九十四的民眾希望基因改造產品有標示。因此,基於消費者有知與選擇的權利,基於國際上的規範,基因食品標示未來都不得不作。相關法規的訂定與落實已經刻不容緩。

基因轉殖豬的產製流程。(養豬研究所提供)(養豬研究所提供)
打破種的界線
「種與種的界線現在打破了,是進步,也是引起疑慮的地方,」中研院植物所研究員陳慶三指出,基因轉殖作物理論上應該無害,但沒有人敢保證完全沒有副作用,他以水稻抗蟲基因為例,水稻中產生對蟲的毒蛋白,對人體理應無害,不過生命現象很複雜,必須經過一段時間的監測、田間實驗、動物實驗後,才能證明確實無害。
然而,無論如何,生物學家們認為不能因噎廢食,「這是一條不得不走的路,就算真的有副作用,找出解決的方法,才是積極的作法,」陳慶三說。
截至目前,人類是地球上演進過程中最晚出現的高等生物,而今人類在科技日新月異、一日千里之下,似乎已有能力讓生命更為「完美」或「好用」。基因工程有如開啟生物演化的鑰匙,只是人類究竟將因此而能掌握更為豐富的資源,解決亙古以來即存在的飢餓、疫病等禍害生命的問題?抑或因「亂點鴛鴦譜」導致自然失衡而招來前所未見的大自然反撲浩劫?手執魔棒的科學家們可要小心了。

大小如郵票的基因晶片上印有九千六百點基因,可以用來協助研究與檢測疾病,目前已有晶片公司開發出腸病毒晶片,提供醫院作臨床測試。(邱瑞金)

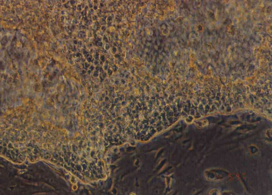
人類基因體解碼後,癌症的基因治療又往前邁進一步。國內從事多年的基因治療研究,已接近進行人體實驗的階段。圖上方是不斷增生的癌細胞,下方則是正常細胞。(中研院生醫所研究員楊文光提供)(中研院生醫所研究員楊文光提供)

基因治療必須藉由載體將基因傳送進細胞中,圖中棕色的細胞顯示基因已傳送進去並開始表現。(中研院生醫所研究員楊文光提供)(中研院生醫所研究員楊文光提供)

(右)生物科技如火如荼的進行,將是人類的曙光、還是夕照,目前無人敢斷言。